Our orthopedic services at NickesFitness.com address musculoskeletal health, offering treatments for injuries, joint disorders, and conditions affecting bones and muscles.

Total joint replacement is a surgical procedure in which damaged joint surfaces are removed and replaced with artificial components. Surgeons…
Spine surgery encompasses a range of procedures to address pain, correct deformities, or restore stability to the spinal column. These…
Good posture helps keep your back healthy and pain-free. When your spine is out of alignment, your muscles and ligaments…
Osteopathic medical education prepares physicians to view the patient as a whole person, incorporating the interconnectedness of body systems into…
Joint pain refers to discomfort, aches, and soreness in any of the body's joints, which are the connections between bones.…
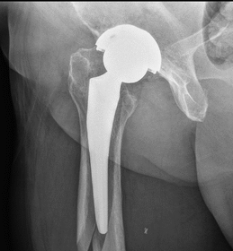
Hip replacement surgery is a medical procedure in which a surgeon removes damaged parts of a hip joint and replaces…
An appointment with orthopedic surgeons is a step toward understanding and addressing pain or injury related to the musculoskeletal system.…
Chiropractors are healthcare professionals who specialize in the musculoskeletal system, and they focus particularly on the spine. They utilize non-invasive…
Orthopedic surgeons specialize in the musculoskeletal system, and they treat injuries that involve bones, joints, ligaments, tendons, and muscles. Surgery…
Sign in to your account